
Leon Rafailov, MD
- Nonsurgical Cosmetic Procedures
- Botox & Dermal Fillers
- Oculofacial Plastic Surgery
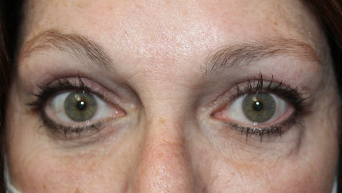
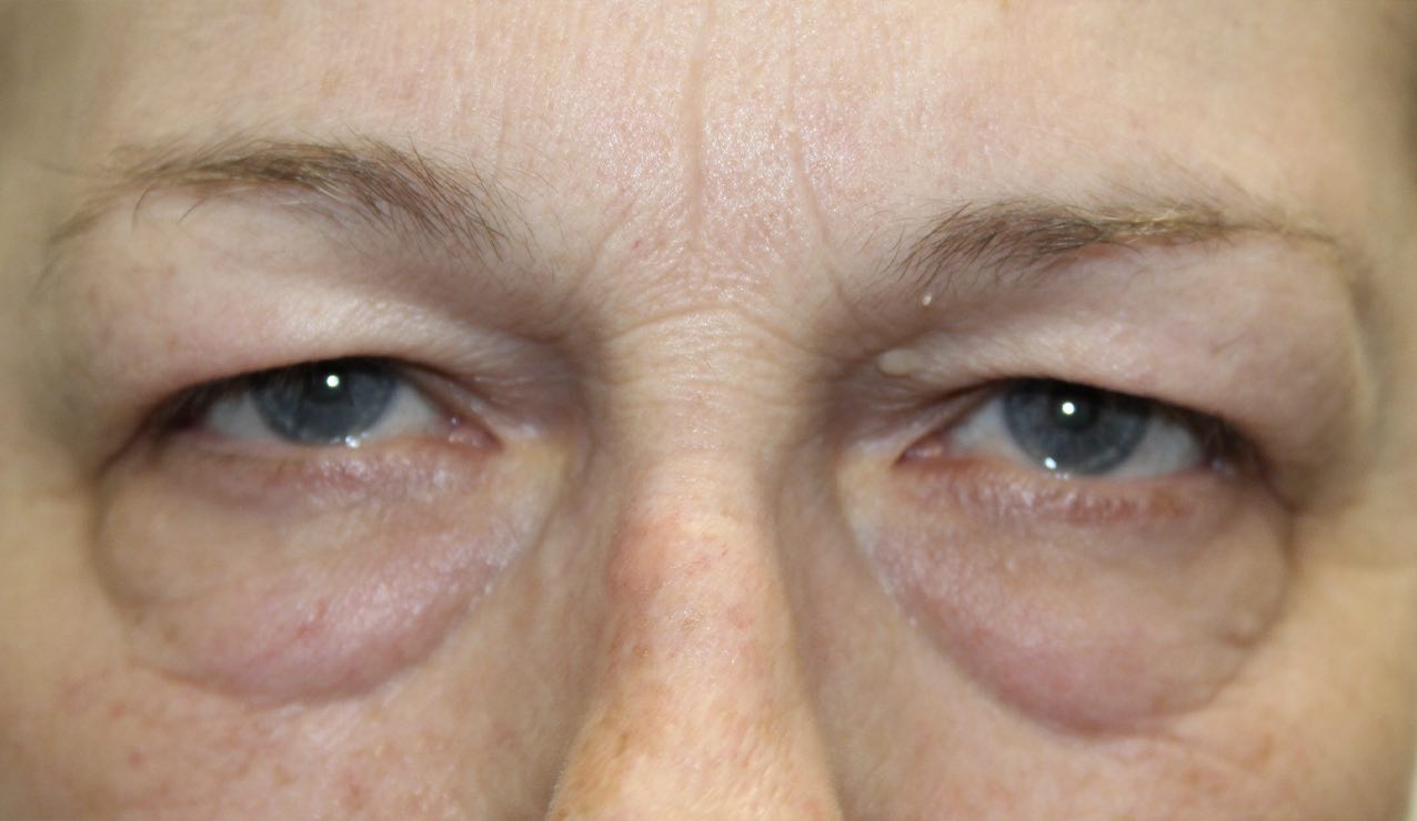
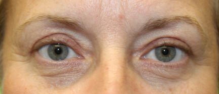
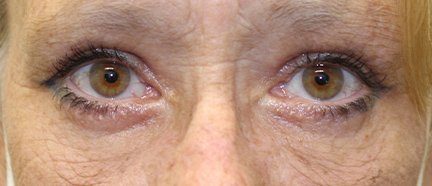
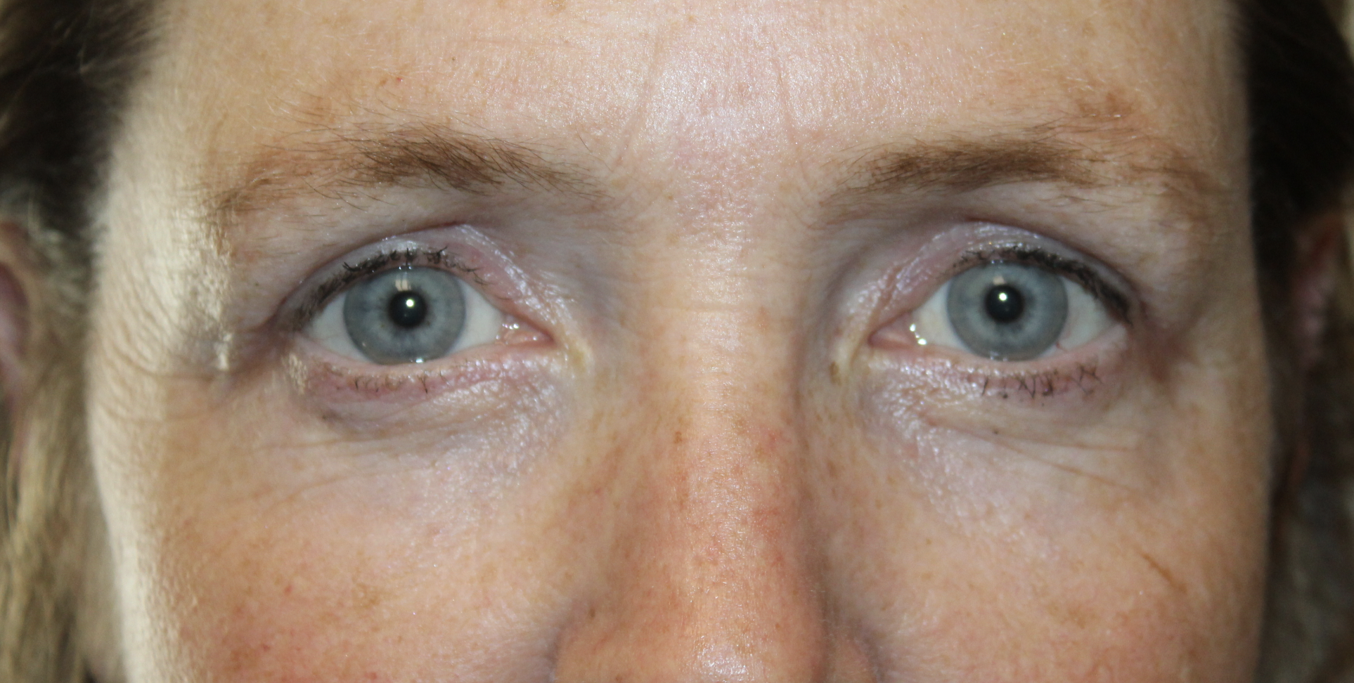
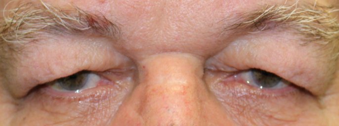
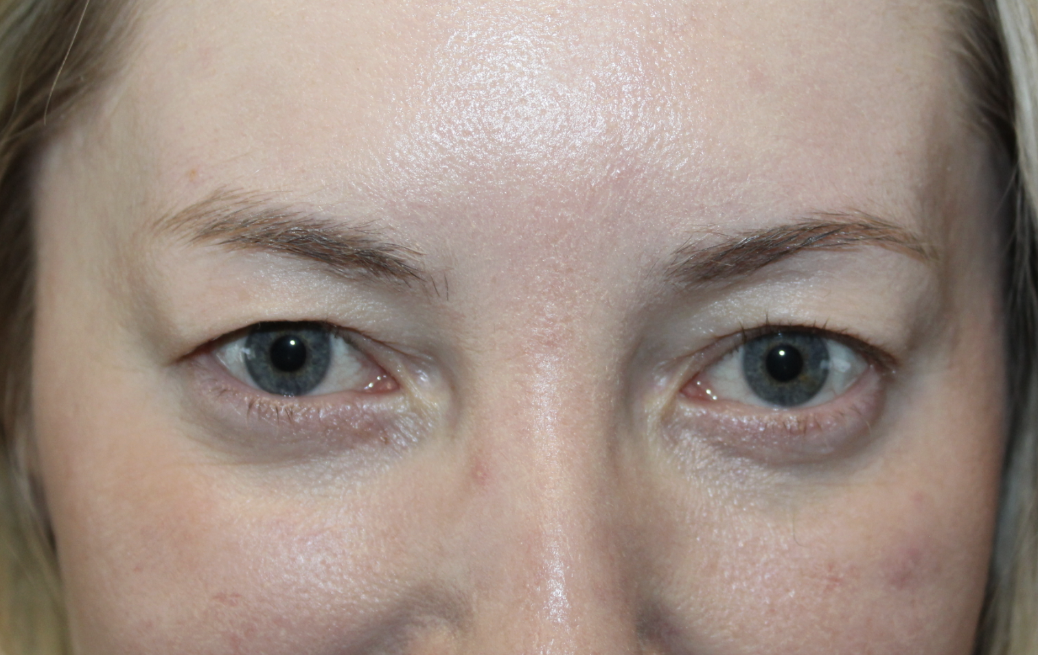
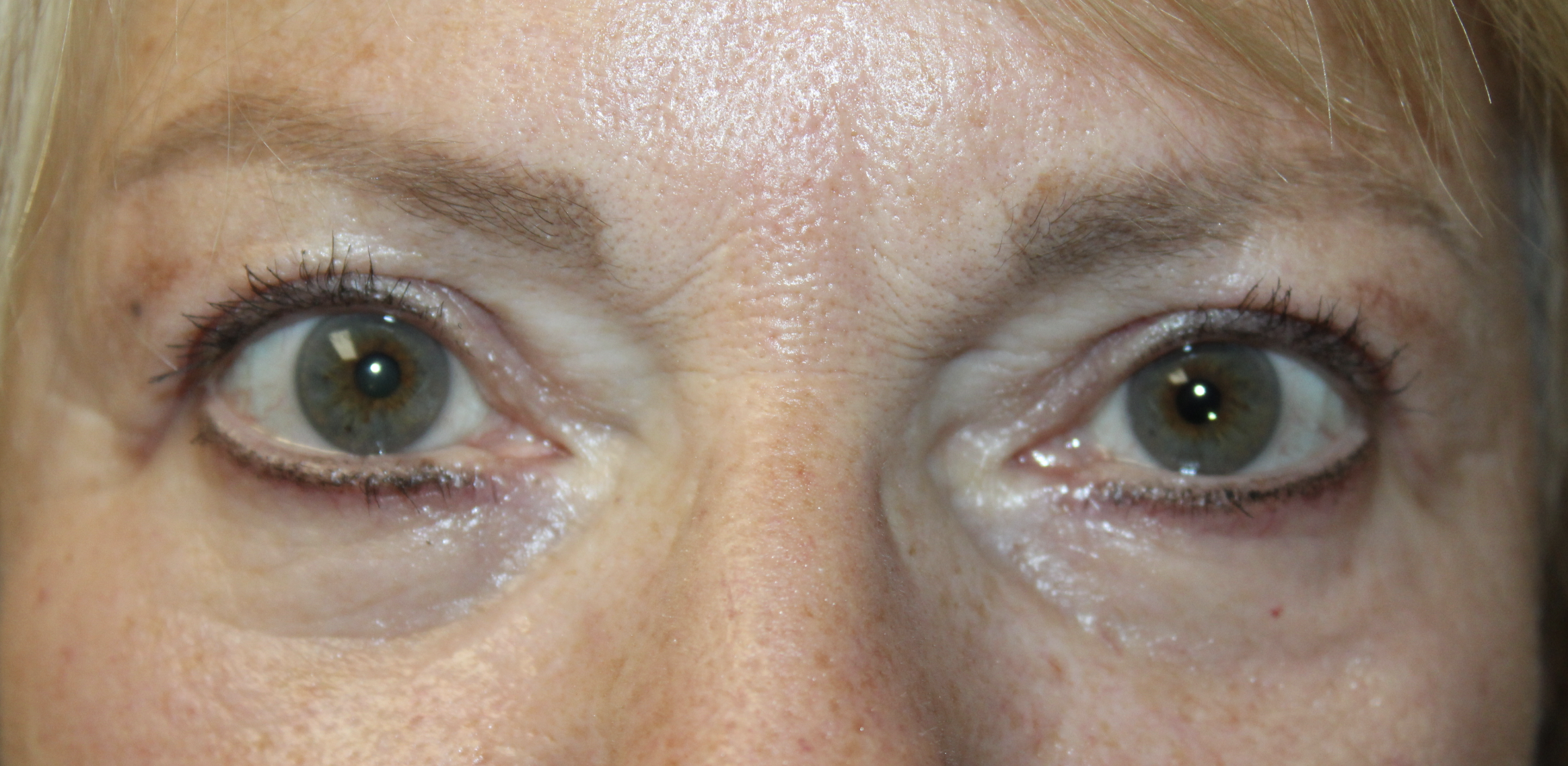
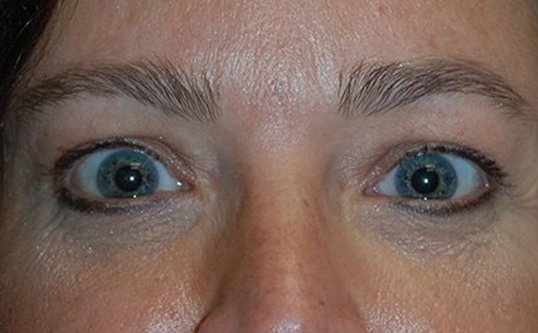
Before & After Photos





































































Locations
Eye Doctors & Surgeons – Bethpage
4277 Hempstead Turnpike Suite 109 Bethpage, NY 11714 Get DirectionsEye Doctors & Surgeons – Little Neck
5515 Little Neck Parkway Suite L10 Little Neck, NY 11362 Get DirectionsProcedures
- Blepharoplasty (Upper & Lower Eyelid Surgery)
- Botox Injectables & Dermal Fillers
- Brow Lift
- Canthoplasty
- Eyelid Reconstruction
- Eyelid Reconstruction After Skin Cancer
- Eyelid Tumor Removal
- Mass Excision
- Ptosis Repair
- Stye Treatment
- Tear Duct Surgery
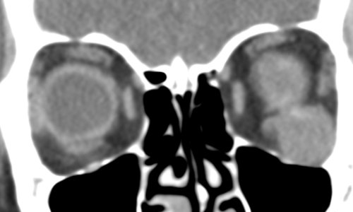
- Thyroid Eye Disease
Year joined staff: 2020
- Brandeis University, Biology & Public Health
- SUNY Downstate College of Medicine, Medical Degree
Rutgers University, Ophthalmology
Yale University, General Surgery, Plastic Surgery, & Internal Medicine
American Academy of Ophthalmology
- Duke Hornaday Fellow Award 2020
- The Rev. James F. Reilly Humanitarian Award 2018
- Lions Eye Research Foundation Annual Research Award 2017
- First Prize for an Oral Presentation by New York Academy of Medicine 2017
Duke Eye Center, Oculofacial, Aesthetic, & Reconstructive Surgery
Leon Rafailov, MD is a board certified, fellowship-trained ophthalmic plastic surgeon who focuses on a wide range of plastic and reconstructive surgery in the area around the eyes. His areas of expertise include the eyelids, forehead, mid-face, orbit, and tear ducts. He has successfully completed thousands of reconstructive, cosmetic, functional, and orbital surgeries. He has published numerous journal articles, abstracts, and book chapters focusing on a wide range of topics in oculoplastics. Dr. Rafailov is trained in advanced techniques in minimally invasive endoscopic surgery, facial reconstruction, trauma surgery, orbital surgery, oncologic surgery, and cosmetic surgery. While in fellowship at Duke, he contributed to research in corneal neurotization and received the “Fellow of the Year” award for teaching. He prides himself in providing specialized and patient-focused care using a custom approach to every patient. He is well known by his patients for his personalized and attentive care. Dr. Rafailov provides cosmetic treatments for people across Nassau County and Suffolk County on Long Island, seeing patients in Babylon, Little Neck, Bethpage, Rockville Centre, Riverhead, and Smithtown, NY.














































