
Samuel Baharestani, MD
- Nonsurgical Cosmetic Procedures
- Botox & Dermal Fillers
- Oculofacial Plastic Surgery
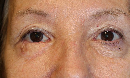
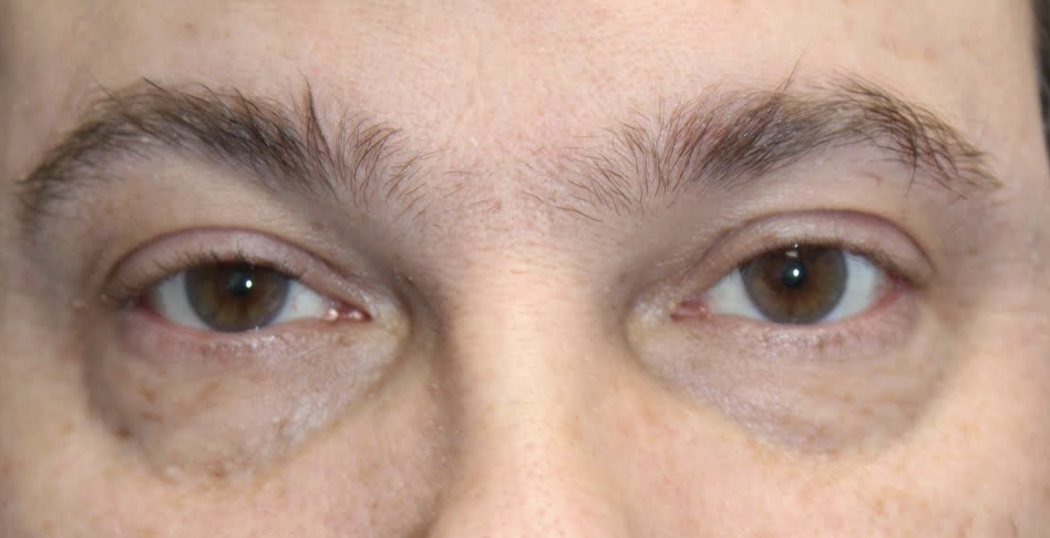
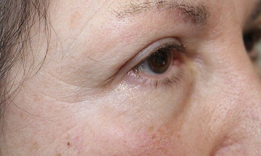
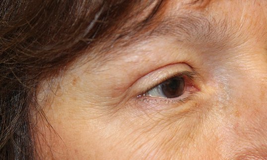
Before & After Photos
Locations
Eye Doctors & Surgeons – Huntington
700 New York Avenue Lower Level Huntington , NY 11743 Get DirectionsEye Doctors & Surgeons – Garden City
1055 Franklin Avenue Suite 100 Garden City, NY 11530 Get DirectionsEye Doctors & Surgeons – Plainview
100 Manetto Hill Road Suite 202 Plainview, NY 11803 Get DirectionsProcedures
- Blepharoplasty (Upper & Lower Eyelid Surgery)
- Botox Injectables & Dermal Fillers
- Brow Lift
- Canthoplasty
- Eyelid Reconstruction After Skin Cancer
- Mass Excision
- Mini Facelift
- Ptosis Repair
- Stye Treatment
- Tear Duct Surgery
- Thyroid Eye Disease
Year began practicing: 2011
Year joined staff: 2014
- New York University College of Arts & Science, BA in Biology, Minor in Chemistry & Economics
- NYU School of Medicine
NYU Medical Center & Manhattan Eye, Ear, & Throat Hospital, Ophthalmology
Lenox Hill Hospital
- Fellow, American Society for Ophthalmic Plastic & Reconstructive Surgery (ASOPRS)
- Fellow, American Academy of Ophthalmology (AAO)
- Fellow, American College of Surgeons (ACS)
- Executive Chief Resident, Manhattan Eye Ear and Throat Hospital
- Clinical Instructor, Nassau University Medical Center Department of Ophthalmology
- Best Cosmetic Surgeon, Long Island Press
- New York Super Doctors
- RealSelf Hall of Fame
- Harry A. Charipper Medal for Outstanding Contributions to the Science of Biology
Cincinnati Eye Institute & University of Cincinnati Medical Center, Ophthalmic Plastic & Reconstructive Surgery
Samuel Baharestani, MD is a board certified ophthalmologist specializing in oculoplastic surgery. He treats conditions involving the eyelids, tear duct, and orbit, along with cosmetic surgery of the eyelids and eyebrows. Dr. Baharestani has extensive training in non-surgical rejuvenation of the face with Botox, fillers, and chemical peels. As an ophthalmic plastic surgeon, he is able to combine the cosmetic principles of plastic surgery with the microsurgery of ophthalmology to achieve the best aesthetic results for his patients.
Raised on Long Island, Dr. Baharestani is a graduate of Roslyn High School where he was a four year scholar athlete in volleyball and graduated with distinction in the top 2% of his class. Dr Baharestani is fluent in English, Spanish, and Farsi. He has over one hundred publications of original research, case presentations, book chapters, abstract submissions, invited lectures, and online medical contributions. In his spare time, he enjoys traditional Persian cuisine, high intensity interval training, Billy Joel’s music, exploring New York City, and traveling around the world.





