
Modupe Adetunji, MD
- Cataract
- Nonsurgical Cosmetic Procedures
- Glaucoma
- Comprehensive Ophthalmology
- Botox & Dermal Fillers
- Oculofacial Plastic Surgery
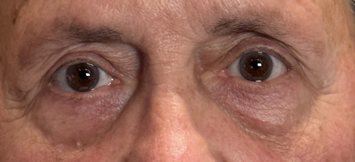
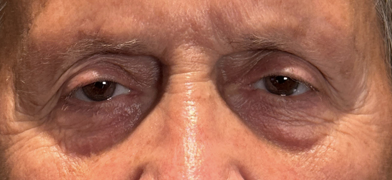
Before & After Photos
Locations
Year Joined SightMD: 2025
- Princeton University – A.B.in Molecular Biology
- Perelman School of Medicine at the University of Pennsylvania – M.D. Degree
- Duke University – Ophthalmology Residency
- Duke University – Internal Medicine Internship
- American Academy of Ophthalmology
- Alpha Omega Alpha Honor Medical Society
- American Society of Cataract and Refractive Surgery
- 2023 Women in Ophthalmology Best in Section Poster Award
- 2021 Mary Ellis Bell Medical Student Research Paper Prize
- 2021 Alpha Omega Alpha Honor Medical Society
- 2021 Association for Research in Vision and Ophthalmology Knights Templar Eye Foundation Travel Grant
- 2020 Medical Student Paper Contest Winner, Rabb Venable Excellence in Ophthalmology Research
Program” - 2020 Association for Research in Vision and Ophthalmology/Vision Research Minority Fellowship
Award”
2020 East-West Iron Club Research Excellence Award
2019 Jeffrey W. Berger Medical Student Research in Ophthalmology Award
2017-2019 National Heart, Lung, Blood Institute Research Fellowship
Modupe Adetunji, MD is a highly accomplished ophthalmologist specializing in the medical and surgical care of the eyes. Dr. Adetunji is dedicated to delivering patient-centered, evidence-based care, with clinical interests spanning glaucoma, neuro-ophthalmology, and comprehensive ophthalmology.
Dr. Adetunji earned her Bachelor of Arts in Molecular Biology with honors from Princeton University, where she also obtained a Certificate in Global Health and Health Policy. She went on to receive her Doctor of Medicine from the Perelman School of Medicine at the University of Pennsylvania. During medical school, she distinguished herself through extensive research, community service, and leadership, earning membership in the prestigious Alpha Omega Alpha Honor Medical Society.
Following medical school, Dr. Adetunji completed her internship in Internal Medicine at Duke University, where she continued her training with residency in Ophthalmology at Duke Eye Center.
Throughout her academic career, Dr. Adetunji has been the recipient of numerous national honors and awards, including the National Achievement Scholarship, NIH Summer Intramural Research Training Award, Princeton’s Women’s Leadership Award, and the Allen Macy Dulles ’51 Award, which recognizes service to humanity. Her research contributions have been recognized with accolades such as the Rabb Venable Excellence in Ophthalmology Research Award and the ARVO Vision Research Minority Fellowship Award. She has presented at national ophthalmology meetings and published extensively in peer-reviewed journals on topics such as glaucoma, neuro-ophthalmology, and ocular inflammation.
In addition to her clinical and research accomplishments, Dr. Adetunji has been actively involved in mentorship, advocacy, and community outreach, including leadership roles in the Student National Medical Association, Alliance of Minority Physicians, and community health initiatives.
Dr. Adetunji is a member of the American Academy of Ophthalmology, Alpha Omega Alpha, and the Association for Research in Vision and Ophthalmology. She remains committed to advancing health equity and improving vision care through compassionate clinical practice and scholarly contributions.


